Επιμέλεια Αλέξανδρος Γιατζίδης, Μ.D, medlabnews.gr
Η τελευταία Τετάρτη του Μαΐου θεσπίστηκε από την Διεθνή Ομοσπονδία “Multiple Sclerosis International Federation (MSIF)”, ως Παγκόσμια Ημέρα για τη νόσο της Σκλήρυνσης κατά Πλάκας (ΣΚΠ) ή πολλαπλή σκλήρυνση και εορτάζεται με συντονισμένες εκδηλώσεις σε όλο τον κόσμο από το 2009.
Η τελευταία Τετάρτη του Μαΐου θεσπίστηκε από την Διεθνή Ομοσπονδία “Multiple Sclerosis International Federation (MSIF)”, ως Παγκόσμια Ημέρα για τη νόσο της Σκλήρυνσης κατά Πλάκας (ΣΚΠ) ή πολλαπλή σκλήρυνση και εορτάζεται με συντονισμένες εκδηλώσεις σε όλο τον κόσμο από το 2009.
Έως και 2,5 εκατομμύρια άνθρωποι παγκοσμίως πάσχουν από ΣΚΠ, μια νευροεκφυλιστική πάθηση που συχνά πρωτοεμφανίζεται σε ηλικία 20 έως 40 ετών, όταν οι ασθενείς βρίσκονται στην πλέον παραγωγική τους ηλικία. Οι γυναίκες έχουν διπλάσια πιθανότητα να εκδηλώσουν ΣΚΠ σε σχέση με τους άνδρες, ενώ στην παγκόσμια βιβλιογραφία έχουν καταγραφεί και περιστατικά σε παιδιά 9 ετών, καθώς και σε ηλικιωμένους 70 χρόνων. Στην Ελλάδα υπολογίζεται ότι πάσχουν περίπου 10.000-12.000 ασθενείς, κυρίως άτομα παραγωγικής ηλικίας από 20 χρόνων και πάνω. Με την πάροδο του χρόνου παρατηρείται απώλεια της εγκεφαλικής μάζας σε όλους τους ανθρώπους, όμως στους ασθενείς με Πολλαπλή Σκλήρυνση η διαδικασία αυτή επιταχύνεται, επηρεάζοντας τις πνευματικές δυνάμεις των ασθενών.
Η συμπτωματολογία της είναι τόσο ποικιλόμορφη που θα μπορούσαμε να την παρουσιάσουμε ως την «ασθένεια με τα 1000 πρόσωπα»
Η ΣΚΠ (ή πολλαπλή σκλήρυνση) δεν έχει ακόμη πλήρως κατανοηθεί από τους επιστήμονες και τους ερευνητές και γι’ αυτό υπάρχουν πολλές παρεξηγήσεις ως προς το θέμα αυτό.
Σε μια προσπάθεια να κατανοήσουμε καλύτερα τις αλήθειες γύρω από τη σκλήρυνση κατά πλάκας, παραθέτουμε σημαντικές διευκρινήσεις γύρω από τις επικρατούσες αντιλήψεις και τους φόβους που την περιβάλλουν ως ασθένεια.
• Η ΣκΠ είναι μία προϊούσα νόσος του Κεντρικού Νευρικού Συστήματος η οποία δεν έχει ακόμη οριστική θεραπεία.
• Υπολογίζεται ότι 2,500,000 άνθρωποι παγκοσμίως, νοσούν από ΣκΠ.
• Νοσούν περισσότερες γυναίκες από τους άνδρες, με αναλογία 2/3.
• Η ΣκΠ είναι από τις πιο συχνές ασθένειες που προσβάλλουν τα νεαρά άτομα.
• Υπάρχουν 4 τύποι ΣκΠ: καλοήθης, εξάρσεων-υφέσεων, δευτερογενώς προϊούσα, πρωτογενώς προϊούσα.
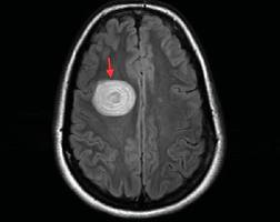
• Σκλήρυνση σημαίνει ουλές: αυτές είναι πλάκες ή ελλείμματα στον εγκέφαλο και τον νωτιαίο μυελό.
• Στην ΣκΠ, καταστρέφεται η προστατευτική μυελίνη που καλύπτει τις νευρικές ίνες του ΚΝΣ.
• Η φλεγμονή και η απώλεια της μυελίνης, προκαλούν τις διαταραχές στην μετάδοση των ερεθισμάτων και επηρεάζουν πολλές λειτουργίες του σώματος.
• Ενώ η ακριβής αιτία για την ΣκΠ δεν είναι γνωστή, πολλά είναι γνωστά για την επίδραση της λειτουργίας του ανοσοποιητικού συστήματος, τα οποία μπορεί να είναι και η αιτιολογία της ασθένειας.
• Η ΣκΠ δεν είναι άμεσα κληρονομική, ωστόσο η γενετική ευπάθεια παίζει σημαντικό ρόλο στην ανάπτυξή της.
• Η ΣκΠ δεν είναι μεταδοτική
• Ο χρόνος διάγνωσής της, γενικά κυμαίνεται από 20 μέχρι 40 ετών, ωστόσο η έναρξή της μπορεί να είναι νωρίτερα ή και αργότερα.
• Η ΣκΠ σπάνια διαγιγνώσκεται κάτω των 12 και άνω των 55 ετών.
• Για πολλούς ασθενείς με ΣκΠ, η διάρκεια ζωής δεν επηρεάζεται σημαντικά.
• Υπάρχει ένα ευρύ φάσμα συμπτωμάτων. Το πιο κοινό είναι η κόπωση.
• Τα περιστατικά ΣκΠ, είναι περισσότερο αυξημένα σε χώρες που βρίσκονται μακριά από τον Ισημερινό.
• Δεν υπάρχει κάποιο φάρμακο που να θεραπεύει την ΣκΠ, αλλά είναι διαθέσιμες θεραπείες που μπορούν να τροποποιήσουν την εξέλιξη της νόσου.
• Πολλά από τα συμπτώματα της ΣκΠ μπορούν επιτυχώς να ελεγχθούν και να θεραπευτούν.
• Η ζωή των πασχόντων δεν είναι εξαρτημένη από το αμαξίδιο.
• Μόνο το 20% των πασχόντων χρησιμοποιεί αναπηρικό αμαξίδιο ή περιορίζεται στο κρεβάτι του επειδή δεν είναι σε θέση να περπατήσει. Το ποσοστό αυτό έχει μειωθεί σημαντικά από τον καιρό που άρχισε η χρήση των ιντερφερονών.
ΠΟΛΕΜΟΣ ΜΕ ΤΗ ΜΕΛΑΓΧΟΛΙΑ
Είναι αναμενόμενο και σύνηθες κάποιος να φοβηθεί, να χάσει τον έλεγχο και να «πέσει» όταν γίνει η διάγνωση ή όταν τα συμπτώματα χειροτερέψουν. Πέρα από αυτό, τα μισά άτομα με σκλήρυνση κατά πλάκας θα βιώσουν κάποια στιγμή αυτό που οι γιατροί αποκαλούν κλινική κατάθλιψη. Η κατάθλιψη μπορεί να είναι άμεσο αποτέλεσμα των πλακών στον εγκέφαλο ή παρενέργεια των φαρμάκων.
Οποια κι αν είναι η αιτία εμφάνισής της, η κατάθλιψη αντιμετωπίζεται με επιτυχία με φαρμακευτική αγωγή και ψυχολογική υποστήριξη. Αν κάποιος αισθανθεί απελπισία, λύπη ή δεν βρίσκει καμία χαρά στις δραστηριότητες της καθημερινής ζωής και τα συναισθήματα αυτά κρατάνε μερικές εβδομάδες, αυτό ίσως είναι ένδειξη μελαγχολίας. Στα συμπτώματα περιλαμβάνονται η απώλεια ύπνου, η απώλεια βάρους, το αίσθημα ανικανότητας και απαξίας, ενοχές, δυσκολία συγκέντρωσης, βίαιες συμπεριφορές και σκέψεις αυτοκτονίας. Αν βιώνετε τέτοιες καταστάσεις, θα πρέπει να επισκεφθείτε έναν ειδικό για να σας βοηθήσει. Να θυμάστε ότι το να ζητήσετε βοήθεια είναι ένδειξη δύναμης και δέσμευσης με τη ζωή και όχι αδυναμία.
Οικονομική κρίση και Σκλήρυνση κατά Πλάκας.
Η επιδείνωση της οικονομικής κατάστασης, η ανεργία και το άγχος που προκαλούν, αποτελούν εκλυτικό αλλά όχι και αιτιολογικό παράγοντα της Σκλήρυνσης κατά Πλάκας και των αυτοάνοσων νοσημάτων.
Το άγχος και η οικονομική κατάσταση επιδεινώνει τη νοσηρότητα. Οι υποτροπές της Σκλήρυνσης κατά Πλάκας σχετίζονται πολύ συχνά με έντονο άγχος. Σε κάποιους ανθρώπους το stress επηρεάζει το ανοσοποιητικό σύστημα και δυνητικά αυξάνει τον κίνδυνο υποτροπής. Άρα το άγχος είναι πάρα πολύ πιθανόν να παίξει ένα ρόλο κυρίως στην έξαρση της νόσου.
Raising awareness for MS, CCSVI and LDN. Emotional view on how MS makes us feel, but all the while fighting to survive! There is hope for us all, so let’s fight it! Created with the help of the beautiful butterflyfightingfm “Sally” Thank you for your amazing talent..x
Music and lyrics by Leona Lewis. Amazing song.











